В Университетском колледже Лондона начались заключительные клинические испытания вакцины от меланомы — наиболее грозной формы рака кожи. Это не вакцина в привычном смысле слова, она не будет вводиться здоровым пациентам для профилактики. Препарат предназначен для пациентов с онкологическими заболеваниями, но, как и в случае с любой вакциной, принцип его работы заключается в обеспечении появления иммунитета к определенному антигену.
Над вакциной из РНК опухолевых клеток каждого пациента — участника исследования работают компании Moderna и Merck. С помощью методов генной инженерии препарат запрограммирован на то, чтобы иммунная система обнаружила раковые клетки и уничтожила их. Уже проведенное двухлетнее исследование, в ходе которого пациенты получали эту вакцину в комбинации с противоопухолевым препаратом, показало обнадеживающие результаты. Риск рецидива рака и летального исхода у таких онкопациентов снизился почти вдвое в сравнении с теми, кто получал препарат без вакцины.
Недавно исследователи объявили о начале третьей, заключительной фазы клинических испытаний, в которые предполагается включить более широкий круг пациентов — свыше тысячи человек с диагнозом меланома.
Создатели вакцины надеются уже в 2025 году получить одобрение FDA.
В поисках агентов
Как именно работает прививка? В случае с инфекциями вакцина содержит агент — ослабленный патоген или его частицы, который вызывает заболевание в легкой форме и против которого иммунная система вырабатывает ответные меры, таким образом предупреждая развитие настоящего заболевания. Оказалось, против рака тоже можно создать биопрепарат, который будет стимулировать иммунную систему бороться с онкоклетками. Вопрос лишь в том, что может стать агентом.
В случае с раком найти его не так просто хотя бы потому, что рецепторный состав опухолевой клетки очень изменчив и не содержит стабильной мишени.
Следовательно, неясно, на что должна быть нацелена профилактическая вакцина.
К слову, две профилактические прививки от рака, которые сегодня существуют, на самом деле защищают не от рака как такового, а от инфекций, которые ассоциированы с развитием онкозаболевания. Это вакцина против ВПЧ (вирус папилломы человека), который приводит к развитию рака шейки матки, и вакцина против гепатита В, который ответствен за раковые заболевания печени.
Общих для всех опухолей маркеров, по которым можно было бы предсказать развитие онкологических заболеваний и которые могли бы стать мишенями для вакцины, не существует. Как не существует и прививок абсолютно от всех инфекций.
Но можно заставить иммунитет прицельно работать против определенных, в нашем случае — раковых клеток, когда они уже появились в организме. Такой препарат — терапевтическая вакцина — должен помочь иммунной системе распознать врага, остановить его наступление на организм и в идеале полностью его уничтожить. Вопрос, кто станет тем самым агентом, который может повлиять на иммунную систему, активизировать ее деятельность и следить, чтобы всё шло как надо?
Все исследования как в прошлом, так и сейчас направлены на то, чтобы выбрать наиболее подходящего кандидата на эту роль.

Сотрудник компании BioNTtech в исследовательской лаборатории по разработке вакцин против рака на основе мРНК в Майнце, Германия, 27 июля 2023 года. Фото: Wolfgang Rattay / Reuters / Scanpix / LETA
Туберкулез против рака
Вполне ожидаемо, что первыми, на кого исследователи обратили внимание еще столетие назад, стали бактерии. В 1890 году хирург-онколог Вильям Коли в процессе лечения пациентов с рожистым воспалением кожи обнаружил, что введение токсинов стрептококка уменьшает размер опухоли. Так была создана самая первая вакцина от рака, в которую помимо стрептококка хирург добавил анаэробные энтеробактерии, что должно было усилить противораковый эффект. Эти микроорганизмы были чужаками для иммунной системы, которая тут же начинала их атаковать, а вместе с ними под удар попадали и опухолевые клетки.
Спустя несколько десятилетий подобный эффект описали другие исследователи — уже в отношении туберкулезной палочки. Данные о результатах вскрытия больных туберкулезом, проведенные Университетом Джонса Хопкинса, показали, что у тех практически не встречался рак: иммунные клетки, сражавшиеся с палочкой Коха, попутно воздействовали и на онкоклетки.
Но идея лечить рак с помощью бактерий не нашла понимания у врачей того времени. Существовал вполне конкретный риск заразить человека, имеющего онкологическое заболевание, еще и инфекцией. С того момента, когда английский сельский врач Эдвард Дженнер сделал самую первую прививку, введя ребенку содержимое оспенных пузырьков больных коров, чтобы защитить его от черной оспы, прошло 150 лет. В начале XX века уже были созданы прививки от бешенства и туберкулеза, но вводить возбудителей смертельно опасных болезней, чтобы победить другую столь же грозную болезнь, казалось слишком смелым решением. И лечение рака пошло по другому пути — развитию радио- и химиотерапии.
К этой идее — лечить онкологические заболевания бактериальными инъекциями — вернулись лишь в конце XX века. И снова в главной роли была туберкулезная палочка, точнее, бацилла Кальметта-Герена, известная всем как БЦЖ (Bacillus Calmette-Guerin), которую вводят новорожденным в первые часы жизни, чтобы защитить от туберкулеза.
Оказалось, что при введении БЦЖ больным раком мочевого пузыря рецидив этого заболевания существенно снижался и отмечался лишь в 20%, при том что в других случаях рак возвращался у 50% пациентов.
Несмотря на то что при этом способе лечения встречались и осложнения в виде образования туберкулезных гранулем в печени, терапия была признана эффективной, в 1990 году была одобрена FDA и сейчас применяется во многих странах мира.
Вирусы-волшебники
В конце XIX века врачи описывали историю «волшебного исцеления». У женщины с лейкемией количество лейкоцитов — клеток, указывающих на злокачественный процесс, — снизилось в разы после того, как она перенесла респираторную вирусную инфекцию с высокой температурой, болью в горле и насморком, ломотой в мышцах и чувством усталости. Перенесенная ОРВИ фактически вызвала ремиссию и подарила пациентке дополнительные годы жизни.
Так родилась теория о том, что в опухолевые клетки могут проникать вирусы, паразитировать на них и препятствовать их росту. Находилось немало тому подтверждений. Например, после заражения вирусом дальневосточного энцефалита у мышей остановилось развитие саркомы. Были и некоторые обнадеживающие результаты после заражения вирусом гепатита В пациентов с лимфомой Ходжкина. Из 22 участников исследования 14 заразились гепатитом, но еще у 8 человек наблюдался иммунный ответ, а у четырех участников эксперимента опухоль уменьшилась в размерах. Случались и казусы. У пациента, у которого была диагностирована меланома с метастазами, рост опухоли вдруг остановился и на долгое время случилась ремиссия после того, как его укусила собака и ему сделали прививку от бешенства.
Эксперименты с разными вирусами продолжались до середины XX века, но видимых результатов не принесли. Ремиссии онкологических заболеваний хотя и случались, но были кратковременными, в большинстве случаев пациент заражался тем, что, по идее, должно было его излечить. И в итоге иммунная система переключалась на борьбу с «сопутствующей» инфекцией, оставляя онкоклетки без своего контроля.

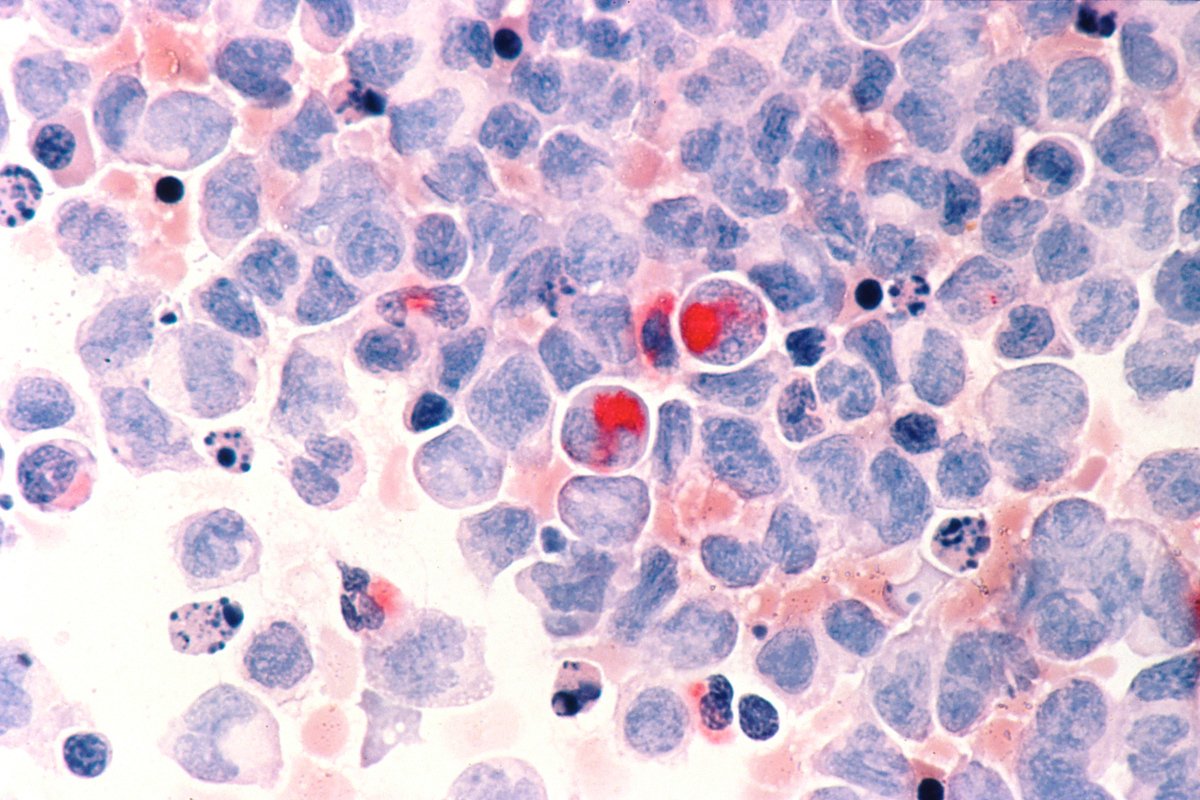
Клетки человека с острой миелоцитарной лейкемией под микроскопом. Фото: National Cancer Institute / AP / Scanpix / LETA
С течением времени стало ясно, что «волшебными» свойствами обладают не все вирусы, но многие. Среди них адено- и герпесвирусы, полиовирусы, парвовирусы и некоторые другие. Все они, названные онколитическими, имеют удивительную специфику. С одной стороны, они оказывают токсическое воздействие на раковую клетку, повреждают ее, и в итоге она погибает. Другая их особенность — в том, что размножаться онколитические вирусы способны лишь в опухолевой клетке, не затрагивая здоровые. Попадая в опухоль, они образуют большое количество инфекционных вирусных частиц, что ведет к массовой гибели опухолевых клеток. И главное — происходит высвобождение молекулярных фрагментов и специфических антигенов, которые активизируют адаптивный противоопухолевый иммунный ответ, что ведет к апоптозу (гибели) онкоклетки.
Задача у исследователей была простая — научить вирус уничтожать определенные раковые клетки, не трогая здоровые. Решить ее смогли лишь с развитием методов генной инженерии в конце XX века, когда вирус удалось модифицировать таким образом, чтобы устранить его патогенность, то есть способность вызывать болезнь. Сейчас вирус используется и как «убийца» опухолевых клеток, и как носитель для терапевтических молекул: он интегрирует в организм специальные белки, которые блокируют определенные рецепторы на поверхности опухолевых клеток, таким образом показывая иммунной системе: вот он, враг, которого надо уничтожить.
Первая подобная вакцина была создана в 2005 году в Китае на основе сконструированного онколитического аденовируса и применяется для лечения рака пищевода, шеи и головы. Спустя десять лет появилась еще одна вакцина, основанная на модифицированном вирусе простого герпеса первого типа — этот вирус известен всем как лихорадка, которая нередко появляется на губах.
Ведутся подобные разработки и в России. Так, в январе этого года исследователи Научного центра трансляционной медицины Научно-технологического университета «Сириус» сообщили о разработке нового препарата на основе модифицированного вируса везикулярного стоматита (VSV), который не только уничтожает опухолевые клетки, но и стимулирует их вырабатывать большие количества белков IL-12 и GM-CSF. Это сигнальные молекулы, отвечающие за активизацию иммунитета и созревание дендритных клеток. Первые результаты исследований показали, что введение VSV мышам с меланомой на 40% замедляло рост опухоли. Возможно, нужно увеличить дозу вирусных частиц либо воздействовать сразу на обе сигнальные молекулы. Всё это ученым предстоит выяснить в ближайшее время.
Найти и уничтожить
И всё же вирусы и бактерии оставались для иммунной системы «иноагентами» — чужеродными элементами, которые могли запустить нежелательные инфекционные процессы. А нужен был свой среди чужих, и тогда исследователи обратились к собственным клеткам пациента.
— Все опухолевые клетки начинают свою жизнь как абсолютно нормальные и не выглядят для иммунитета чужеродными. Потому иммунная система и не сразу их уничтожает, — поясняет онколог Дмитрий (фамилию спикера мы не называем из соображений безопасности. — Прим. ред.). — В результате происходящих мутаций опухолевая клетка начинает продуцировать специфические белки-антигены, которых нет у здоровых клеток. Вот эти опухолевые антигены и являются важнейшей целью иммунотерапии рака. Для опухолевых клеток важно спрятаться от собственной иммунной системы. А задача противораковой вакцины — повысить ее способность найти эти антигены и уничтожить их. Кто лучше всего сможет это сделать? Конечно, тот, кто знает опухоль изнутри.
Например, дендритные клетки — это популяция особых клеток иммунной системы костномозгового происхождения, играющих в ней ключевую роль. Именно они распознают чужаков, в том числе опухолевые клетки, и могут идентифицировать их антигены. Полученную информацию они передают другим клеткам иммунной системы.
Разработки таких вакцин активно ведутся в НМИЦ онкологии имени Н. Н. Блохина: дендритные клетки извлекаются из крови пациента, в лабораторных условиях их нагружают антигенами опухоли, затем через внутрикожное введение возвращают в организм, чтобы они простимулировали развитие Т-клеточного иммунного ответа и сформировали иммунологическую память.
Всего же в мире, по данным отчета Global Dendritic Cell Cancer Vaccine Market Dosage Price & Clinical Trials Outlook 2024,
сейчас разрабатывается более 60 дентритноклеточных вакцин от рака, которые находятся на разных стадиях клинических исследований.
В начале этого года получила от FDA статус ускоренного рассмотрения вакцина норвежского производителя Ultimovacs для лечения редкого, но агрессивного типа рака, при котором поражаются ткани, выстилающие легкие и грудную клетку. Данная вакцина использует пептиды — специфические вещества, которые получают непосредственно из опухолевых антигенов и у которых схожая с дендритными клетками задача — передать сигналы SOS другим клеткам иммунной системы и стимулировать выработку специфичных антител. У пептидных вакцин есть ряд плюсов: они просты в синтезировании, химически стабильны и не обладают высокой канцерогенностью. Правда, и способность вызвать иммунный ответ у них тоже невысокая, поэтому их применяют вместе с помощниками-адъювантами — так называют соединения веществ, которые этот ответ позволяют усилить. Норвежская вакцина также изучается в сочетании с другими терапевтическими препаратами.
Активно изучается возможность создать вакцину из собственных опухолевых клеток пациента, которые содержат весь спектр опухолевых антигенов.

Флаконы с вакциной на производстве Pfizer. Фото: Pfizer / AP / Scanpix / LETA
Внедрение матрицы
В 2023 году лауреатами Нобелевской премии стали биохимики Каталин Карико и Дрю Вайсман, разработавшие метод синтеза матричной РНК — основы для производства белка, на которую передается вся генетическая информация, имеющаяся в наших клетках. Еще за десять лет до пандемии COVID-19 ученые доказали, что можно модифицировать мРНК, наделив ее нужными характеристиками, например, чтобы клетки производили определенные белки-антитела к патогенам. Несколько компаний с 2010 года занимались разработкой этого метода, а в декабре 2020 года, в разгар пандемии новой коронавирусной инфекции, компании Pfizer и Moderna представили вакцины от COVID-19 на основе мРНК.
Нобелевский комитет отметил впечатляющую скорость, с которой могут быть разработаны подобные вакцины, и предсказал, что в будущем эту технологию можно будет использовать в том числе для лечения рака.
Будущее наступило стремительно. Только если мРНК в эпоху коронавируса была модифицирована для распознавания вируса, то нынешняя мРНК-вакцина запускает внутриклеточное производство закодированных белков-антигенов, вызывая иммунный ответ против раковых клеток.
Опухоль каждого человека специфична, имеет свои антигены, поэтому исследователи пытаются идти по пути создания персонализированной вакцины. Для этого у пациента в процессе операции берется кусочек опухоли, из онкоклеток выделяется ДНК и секвенируется. Так получается персонализированный препарат от рака, специфичный для конкретного пациента.
Исследования в этом направлении ведут сразу несколько научных коллективов. Это не только Moderna и Merck, которые изучают вакцину против меланомы. О начале второй фазы клинических исследований мРНК-вакцины против рака поджелудочной железы объявил Университет Цинциннати. Подобные разработки ведет и компания BioNTech совместно с Genentech.
Волшебное средство
Означает ли это, что в лечении рака произошел прорыв и наука вплотную приблизилась к победе над онкологическими заболеваниями? Об этом мы поговорили с ведущим специалистом в области иммунотерапии рака, профессором кафедры микробиологии и иммунологии Медицинской школы Университета Майами и соруководителем исследовательской программы по иммунологии опухолей Эли Гилбоа:

Эли Гилбоа
профессор кафедры микробиологии и иммунологии Медицинской школы Университета Майами и соруководитель исследовательской программы по иммунологии опухолей
— Что понимать под словом «прорыв»? Для меня «прорыв» означает долгосрочную регрессию опухоли и излечение более 50% пациентов. Пока есть основания для осторожного оптимизма относительно того, что результаты исследования мРНК-вакцины будут «хорошими» или «очень хорошими», а именно, что у значительной части пациентов будет наблюдаться немедленный и долгосрочный клинический ответ.
— То есть ожидать, что эта вакцина будет широко применяться, пока преждевременно?
— Персонализированная вакцина — это всегда очень сложно и очень дорого. К тому же применение такого подхода ограничено пациентами, у которых опухоль содержит достаточное количество антигенов, чтобы воздействовать на них вакциной. А таких пациентов не так и много — не более 20–30%, их число отличается в зависимости от вида рака. Например, больных с меланомой — 40–50%, а с раком простаты — лишь 5–10%. Так что в обозримом будущем широкое применение вряд ли реально.
— А в чем основные трудности при создании вакцины?
— Ключевой компонент — это антигены, которые содержатся на поверхности опухолевых клеток. Вакцина должна заставить иммунную систему воспринимать их как чужеродные вещества и атаковать. Проблема в том, что эти опухолевые антигены — мишень не универсальная. Они неоднородны и различаются не только от пациента к пациенту, но даже у одного онкобольного в опухолевых клетках могут быть разные антигены.
Иммунную систему надо обучить, чтобы она боролась с тем, с чем нужно. Наша лаборатория как раз пытается решить эту проблему.
— Как именно?
— Мы выявляем неоантиген (антиген, образовавшийся в результате мутаций в онкоклетках, он специфичен для опухолевых клеток и отсутствует в нормальных. — Прим. ред.). Неоантигены — это своего рода «черный ящик» для иммунной системы, который нужно обнаружить и без которого вакцина не будет оптимальной. Сейчас мы разрабатываем подход, при котором «украшаем» опухоль пациента неоантигенами и таким образом делаем ее видимой для иммунной системы, а затем уже вводим вакцину. На мышах это сработало хорошо, мы получили мощный иммунный ответ без токсический проявлений. Теперь задача состоит в том, чтобы перенести этот метод на пациентов.
— Какие еще направления в иммунотерапии рака, помимо прививки, кажутся вам наиболее перспективными?
— В первую очередь, это работа с неопухолевыми клетками, которые способствуют росту опухоли, — то, что специалисты называют опухолевой стромой. А также обучение терапевтических агентов попадать в цель, например, в опухолевые поражения или иммунные клетки. Этот метод наименее токсичен и наиболее эффективен.
— И всё же: будет когда-нибудь создано волшебное средство, излечивающее от рака?
— Не думаю, что может быть какое-то единственное средство излечения, будь то вакцинация или блокада контрольных точек. Я могу представить себе «универсальную» противораковую вакцину для всех или большинства пациентов, но в долгосрочной перспективе я не сторонник индивидуального лечения каждого человека с учетом уникальных особенностей его опухоли. Для борьбы с раком необходим комбинированный подход — коктейль «универсальных» препаратов дополняющего действия, который будет охватывать если не всех, то большинство онкологических больных. А вот комбинации этих препаратов уже могут варьироваться в зависимости от биологии, стадии и типа рака.
Делайте «Новую» вместе с нами!
В России введена военная цензура. Независимая журналистика под запретом. В этих условиях делать расследования из России и о России становится не просто сложнее, но и опаснее. Но мы продолжаем работу, потому что знаем, что наши читатели остаются свободными людьми. «Новая газета Европа» отчитывается только перед вами и зависит только от вас. Помогите нам оставаться антидотом от диктатуры — поддержите нас деньгами.
Нажимая кнопку «Поддержать», вы соглашаетесь с правилами обработки персональных данных.
Если вы захотите отписаться от регулярного пожертвования, напишите нам на почту: [email protected]
Если вы находитесь в России или имеете российское гражданство и собираетесь посещать страну, законы запрещают вам делать пожертвования «Новой-Европа».
